Below you will find some examples of cosmetic cases we have undertaken to help improve our patients smiles.

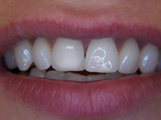
Sometimes the simplest solution is also the best solution. As you can see in the photos above, worn and chipped front teeth were reshaped to provide a more cosmetically pleasing smile.

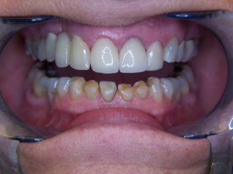
Severely worn and broken lower front teeth were restored to their original beauty with a combination of porcelain veneers and porcelain crowns.

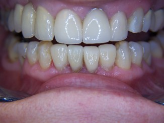
No braces needed here! A permanent bridge was made to bring these front teeth back into alignment.
